Medical Newsletter 02.2017
Blocos de nervos periféricos guiados por ultrassom

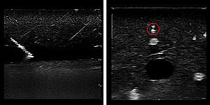
The REGANESTH® unoplex Foi desenvolvido para a realização de bloqueios periféricos guiado exclusivamente por ultra-som.
Mesmo em ângulos de punção muito grandes, a agulha apresenta uma excelente visibilidade.
Benefícios do produto:
• Excelente ecogenicidade devido ao marcador de ultra-som Rhombus Cut
• Manuseio confortável por meio do desenho ergonômico do REGANESTH® hub
• Localização simples devido à marcação da posição do bisel no hub
• Orientado para a prática por meio de um tubo de injeção longo de 60mm de comprimento, que pode ser desconectado
Convença-se da visibilidade do REGANESTH® unoplex:

<link pt produtos clinica anestesia-regional agulhas-de-plexo internal-link>Sobre os produtos
<link pt produtos novos-produtos reganesthr-unoplex>
www.sarstedt.com/pt/produtos/novos-produtos/reganesthr-unoplex/
